

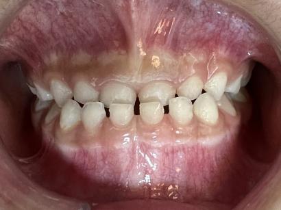
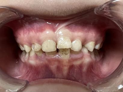
你见过这样的牙齿吗?这些就是典型的地包天。
地包天又称前牙反颌。是在乳牙期、混合牙期和恒牙期非常容易发生的一种牙齿畸形。正常的情况下,上颌的牙齿盖住下颌的牙齿。地包天反过来,下颌牙齿往前伸,下颌牙齿盖住上颌牙齿。

地包天是怎么形成
遗传因素
如果父母中有人是反颌,即“地包天〞,宝宝就有遗传的可能,这种可能性占1/3左右。
喂奶姿势不对
如果奶瓶拿得太高,宝宝就必须把下颌外伸才能喝到奶,久而久之,下颌就会较上颌更突出,形成反颌,即“地包天"。
不良习惯
宝宝伴有长期吮手指、咬嘴唇、咬物、吐舌等不良习惯,也可能导致地包天。
地包天什么时候治疗
那么当发现小朋友地包天以后,应该什么时候给小朋友干预呢?特别是正在换牙期的小朋友,要等到所有牙齿换完再来矫正吗?
第一 2~5岁
2~5岁属于乳牙期,
乳牙期地包天的矫正时间往往取决于小朋友的配合程度,家长可以带小朋友来口腔科,医生会用专业的方法评估小朋友的配合情况,从而决定开始矫正的时间。乳牙列的治疗应在乳牙牙根开始吸收前、乳前牙替换启动前开始。
乳牙列地包天以牙性伴功能性为主,矫正方法也比较简单,一般半年左右就能达到完全矫治的效果。
第二6~12岁
当地包天有骨性因素存在(上颌骨发育不足或者下颌骨发育过度或者两者兼有)或者一些环境因素没有去除,新换出来的门牙又会表现出地包天。
正畸医生最怕的就是这个阶段,许多家长说“听别人说,等牙换好一起矫正”,千万不要听别人说吧,来听听正畸医生怎么说
这个阶段的治疗有两个好处:
★早期解除前牙反颌有助于良好咬合关系的建立,避免畸形进一步加重。
★对于上颌骨发育不足引起的前牙地包天和面中分凹陷畸形,也可以在这一阶段利用小朋友生长潜力,促进发育不足的上颌骨向前发育,减轻颌骨畸形程度。
这个阶段最佳的治疗年龄是9岁左右,可以根据孩子地包天的具体情况,采用从轻到重的办法固定矫治器,然后再配合口外整形力来进行纠正,一般纠正的效果也比较不错。
然而并不是所有的骨性因素都能在这个阶段得到纠正,下颌骨生长过度引起的地包天,由于目前缺乏有效的办法抑制下颌生长,可能需要下一步的治疗。
第三12岁及以后
如果在前两个阶段都没有及时矫正,到了恒牙期,也就是12岁以后再进行矫正的话,往往就比较复杂了,矫治的难度也比较大,矫正的时间长,费用也比较高,而且面型改善也不是很明显,严重的甚至还需要手术进行矫正。
小宝宝出现地包天家长应该重视,越早采取相应的办法进行治疗,越有利于恢复。牙齿周边骨头的生长比身体的发育要早,所以择时进行治疗,不至于让地包天影响到整个口腔、颜面、颌骨的生长发育。
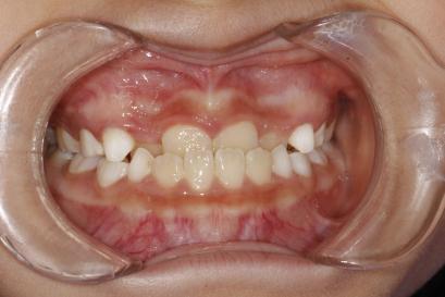
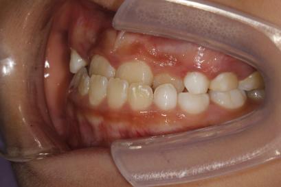
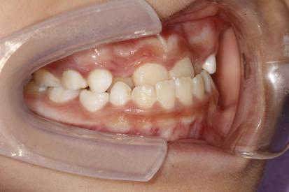
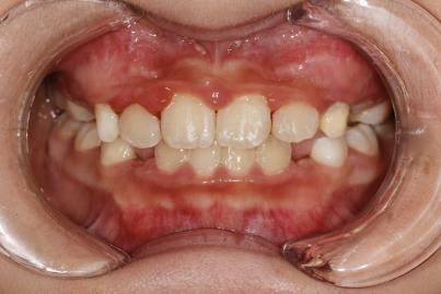
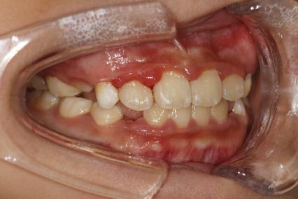
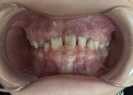
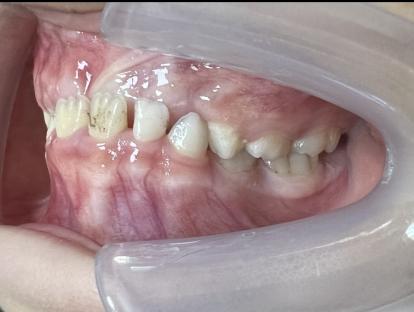
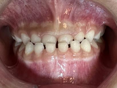
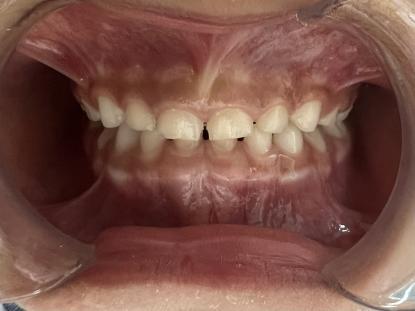
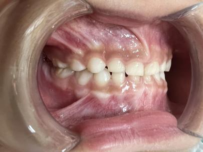
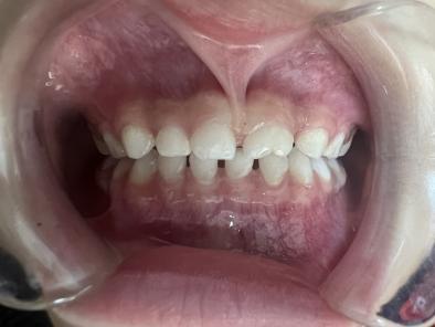
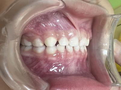
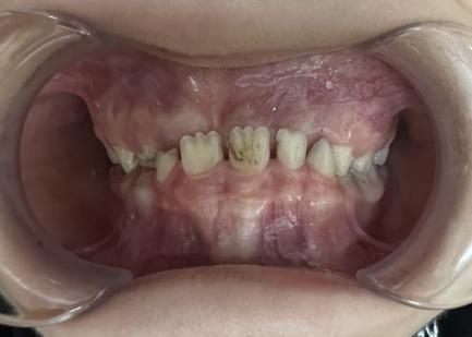
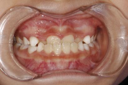
金晓月医生案例分享
案例一:
治疗前



治疗后



案例二:
治疗前



治疗后



案例三:
治疗前



治疗后



案例四:
治疗前



治疗后



版权所有:瑞安市妇幼保健院 瑞安市人民医院妇幼分院 浙ICP备2024083690号-2 Copyright © 2022 Women's Hospital School Of Medicine Zhejiang University