
开始换牙后,象征着孩子踏入成长的另一阶段,家长们充满了各种疑惑:
“原来的乳牙又白又好看,怎么换了呀就变了样啦?”
“有人说可以等12岁后再戴牙套,也有人说马上戴,到底该怎么办?”
今天我们来讲一讲孩子牙齿这些事儿~~
关于替牙期
替牙期一般从5岁到12岁(不同孩子存在较大差异,前后相差两年左右是正常的),这个时期,孩子的20颗乳牙要和相应的恒牙完成“交接班”。但是因为乳牙龋齿,乳牙早失,乳牙滞留,遗传等因素的影响,对应的孩子可能会在替牙期出现牙齿不齐,牙缝大,地包天,龅牙,小下巴,咬合偏斜等表现。
不少传统观念认为,孩子小时候不需要过早矫正,等到牙换好后一起矫正。但是大量临床医学的分析结果显示,以下这些牙合畸形或异常,必须在孩子替牙期结束前发现并矫治,不能犹豫!!
12岁前必须处理的牙齿问题
1.前牙反颌

俗称“地包天”,下牙咬合在上牙之外,严重影响面容美观,导致咀嚼功能下降,十分影响身体健康,有时候还会影响发育,造成沟通障碍。
2. 个别牙反颌

个别牙反合危害大,会造成反合牙齿松动,提前脱落,造成颌骨的发育不足,影响容貌。
3. 深覆颌

上牙完全覆盖住下牙的唇面,下前牙要在上前牙舌侧龈组织或硬腭粘膜上,造成创伤性牙龈炎或粘膜损伤。
4.开颌

咬合关系异常,前牙或后牙无法与相对应牙齿咬合,会出现一条缝隙,吐舌头、吮手指等不良习惯容易引起这种情况的发生。
5.深覆盖

上前牙前突,超出下前牙的位置,呈现“龅牙”的现象。
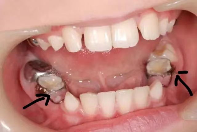
6.乳牙早失

(箭头指的是间隙保持器)
乳牙还没到替换时间就过早脱离,会使局部颌骨发育不足,缺牙的位置可因邻牙移位导致部分甚至全部被占据,以致恒牙错位萌出或埋伏阻生而形成牙颌畸形,对于早失的牙齿需要制作间隙保持器维持间隙等待恒牙萌出。
不要等到12岁以后再做牙齿矫正
随着矫牙技术的发展,很多欧美国家更崇尚在孩子6-12岁进行早期矫正,因为这个年龄段,是孩子牙齿生长发育的快速时期,颌面和牙齿的调整更容易。
早期矫正的优势
更快适应:孩子处在生长发育快速,组织反应较快,适应性强;
更早阻断:可以及时制止牙齿畸形的继续发展,减少牙齿问题的发生;
更加简单:将复杂的牙齿问题更加简单化,治疗更省心;
时间更短:孩子的矫正方法和矫正器相对简单,耗费时间也较短;
发育更好:不只是牙齿问题,还会使相应的牙、颌、面发育更加正常。
孩子健康自信的笑容,对父母来说是重要的礼物。
要赢在起跑线上,自然少不了身体的活力和自信。
儿童早期矫正,早干预更省心~
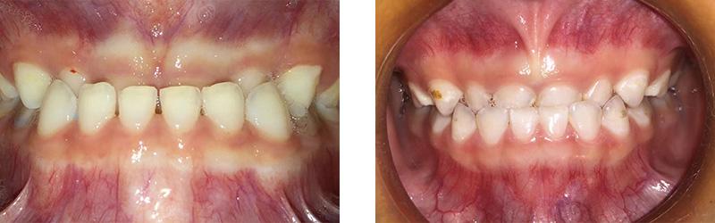
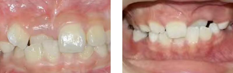
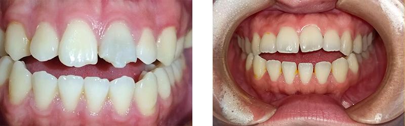
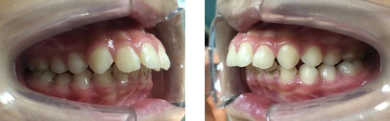
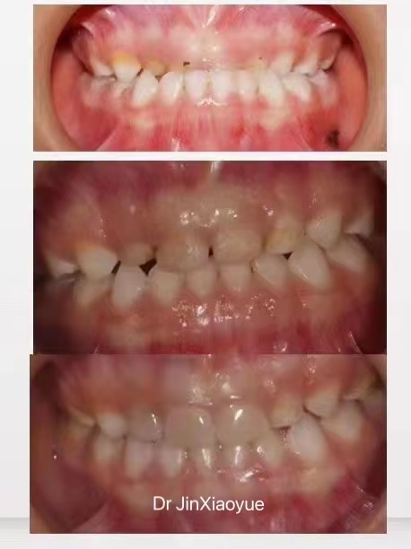
病例分享


医生简介

金晓月 主治医师 口腔医学硕士
2012-2021年在瑞安市人民医院口腔科工作,具有扎实的专业基础知识和丰富的口腔临床操作经验。
专业擅长:儿童龋病、牙髓炎、根尖周炎治疗,各种牙列不齐,牙齿前突,牙齿反合,下颌后缩,儿童青春期矫形治疗,各类青少年及成人错颌畸形矫治。
门诊时间:周一至周五,周六轮值
版权所有:瑞安市妇幼保健院 瑞安市人民医院妇幼分院 浙ICP备2024083690号-2 Copyright © 2022 Women's Hospital School Of Medicine Zhejiang University