
超声软指标是指产前超声发现胎儿微小异常。遗传超声学认为,胎儿超声软指标的出现与胎儿患染色体异常风险增高有关。常用的胎儿超声软指标有以下几种:颈项透明层增厚,鼻骨缺失、发育不良,脉络丛囊肿,轻度脑室扩张,心室强回声,肠管回声。后颅窝扩大,肾窦分离,单脐动脉。
检查过程中出现软指标时,是否都提示胎儿染色体异常呢?答案是否定的.
在染色体异常中,软指标异常的占20%,而染色体正常胎儿中软指标异常的占5% 所以说,出现胎儿软指标异常,只是提高了胎儿患染色体异常的风险,并非提示一定为胎儿染色体异常。
在如上软指标中,重点介绍颈项透明层增厚,鼻骨缺失。
颈项透明层增厚

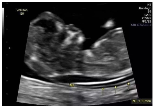
颈项透明层NT:正常胎儿淋巴系统建立之前,少量淋巴液聚集在颈部淋巴管内形成,妊娠14周以后胎儿淋巴系统发育完善,聚集的淋巴液引流到颈内静脉。
检查时间:妊娠11-13+6周
不同孕周NT正常值是不同的
导致胎儿NT增厚的原因有很多,主要有两大类。第一类是胎儿的染色体异常。这也是最常导致胎儿NT增厚的原因,而其中最重要的有四种的染色体,包括唐氏综合征,也就是21号染色体多了一条,或18.13号染色体体多了一条或者是性染色体的异常。其他的染色体异常也有可能NT增厚,但比例相对来说比较小。第二类是胎儿结构的畸形,如骨骼系统发育的异常,有可能导致NT增厚,相对于染色体异常来说,结构畸形或者其他原因导致NT增厚间的比例比较小,但是我们一定要知道绝大部分NT增厚的孩子是找不到什么原因的,意思就是孩子的染色体是正常的,结构是正常的,NT值随着孕周的增长慢慢丧失,恢复正常。在中孕产科超声的时候,完全就像一个正常的孩子。在这组的孩子里面,他们的预后都是非常好的,他们出生以后发育与早孕时候NT正常的孩子是没有分别的。如NT大于3.5mm染色体有问题的机会越来越大,严重的结构畸形的机会越来越大。
所以我们要是碰见孩子真的有NT增厚的话,我们首先需要排除孩子染色体和结构的畸形。
鼻骨缺失

胎儿的鼻骨缺失,那鼻骨缺失究竟是什么意义呢?
妊娠中的超声筛查中可在正中矢状面检查鼻梁下面是看不到这个亮亮的。对于鼻骨缺失,我们的理解有几个方面是确定的,首先鼻骨的发育是先从软骨开始再到钙化,当这个胎儿鼻骨有钙化的时候,它就会反射超声,所以在超声上都可以看到鼻骨,超声可见鼻骨,要是这个鼻骨还没有钙化,只是一个软骨的形态存在的时候,那超声是没有办法可以观察得到的。那我们都会说鼻骨缺失。鼻骨缺失并不是不存在,只是没有钙化,我们没有办法看得到。鼻骨缺失并不是一个结构的畸形,也不是个异常。他唯一的临床的重要性是他跟21三体或者叫做唐氏综合症的一个关系。当我们观察到鼻骨缺失的时候,那他患有唐氏综合症的风险就会上升,但上升不代表孩子就有唐氏综合症。当然,要是鼻骨缺失伴有其他21三体的特征的时候,那21三体的风险就会上升更多。
要是鼻骨缺失只是孤立存在、没有其他异常的时候,目前尚没有医学证据证明这个情况跟唐氏综合征以外染色体异常有任何的关系。鼻骨缺失只是孤立存在、没有其他异常的时候,唐氏的风险的大概是5到10倍。
当它只有孤立的的鼻骨缺失,那我们怎么办?那就要去排除唐氏综合症。这有几个方法,你可以去选择,第一个方法,你要是想100%确定排除唐氏的话,那你就只有一个选择,就是做穿刺,产前诊断,抽取胎儿的样本,去做核心分析,这是一个确诊的方法,但它有一点流产风险。还有一种无创DNA,可以检测99.7的唐氏。
如果唐氏综合征已经被排除,或者你已经不再担心唐氏综合征的风险,那鼻骨缺失只是一个正常的变异。
超声软指标虽然不能确诊或排除胎儿染色体异常,但可以用于辅助判断是否需要进行进一步的染色体检查。
版权所有:瑞安市妇幼保健院 瑞安市人民医院妇幼分院 浙ICP备2024083690号-2 Copyright © 2022 Women's Hospital School Of Medicine Zhejiang University