

2020年9月20日是第32个“全国爱牙日”,今年爱牙日的活动主题是“口腔健康?全身健康”,副主题是“均衡饮食限糖减酸?洁白牙齿灿烂微笑”。现代社会,随着生活水平的提高,人们对牙齿的康问题越来越关注,牙齿的健康关乎着人类整个身体的健康, 儿童口腔健康更是一生健康的基础。
很多家长为宝宝长牙晚、长得慢着急,怀疑宝宝是否是因为缺钙才导致;还有的家长发现宝宝很容易蛀牙,想补钙让牙齿更坚固。所以补钙是必须的吗?怎么样补钙才是科学健康的呢?
首先让我们来看看牙齿是如何发育形成的。每颗牙齿都会经历生长期、钙化期、萌出期三个阶段。牙齿的钙化就是在生长期的后期开始一直持续到萌出。相较乳牙,恒牙的形成就漫长多了。宝宝出生时恒牙开始生长钙化,6岁左右第一颗恒牙萌出,12岁左右,除智齿外全部恒牙萌出。

由其可见,孕期和新生儿期补钙对乳牙的生长发育有益,恒牙的钙化期主要是在婴儿出生时到牙齿萌出前,因此这个时间段补钙对恒牙有益。妈妈们怀孕期间应该多吃些新鲜蔬果、鸡蛋、鱼类、奶类、豆制品等营养食物,以补充宝宝乳牙发育中所需的钙。同样婴幼儿也要摄入充足的营养来确保牙齿正常发育。

一般情况下,对6个月以内婴儿,每天母乳所产生的钙完全满足其生理需要,不必额外补充;对6个月以上的宝宝,可以适当增加含钙辅食,如奶制品、豆制品等含钙量丰富的食物以利于宝宝出牙。1岁以内的孩子每天奶量在800毫升也足以提供生长所需要的钙量 ,只要日常生活中的饮食均衡,在补钙期注意选择钙含量较高的食物,均可取得不错的补钙效果,并非一定要通过服用补剂才算补钙。但是个别宝宝发育比较快,如经过体检,医生发现缺钙,可在儿科医生指导下服用补钙类产品进行适当补钙。

2岁以内的儿童保证充足营养的情况下需适量补充维生素D,来保障儿童骨骼和牙齿的正常发育,鼓励孩子多做户外活动,配合阳光的紫外线作用以促进钙在体内的吸收。牙齿发育期钙、磷、维生素D的缺乏或代谢失衡或者一些系统性疾病及传染病都可能造成牙齿发育异常,这些发育异常等到牙齿萌出后发现再补充什么都来不及了。但是如果单单为了让牙齿快快长出来而补钙就大可不必啦。
牙齿有白斑要不要补钙?
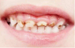
有的家长发现宝宝牙齿上突然出现了不合常理的白斑,而且越来越大,隔壁邻居说这是牙齿脱钙了,补点钙就好了。这是真的吗?
牙齿表面的最外层是牙釉质层,当我们的牙齿没有及时清洁干净,牙菌斑就会在牙釉质表面堆积。食物残渣里面所含的糖分遇上牙菌斑里的细菌后,细菌可以利用糖来释放侵蚀牙齿的物质——酸,这些酸会使牙釉质脱矿。
这时牙齿脱钙部位的颜色和透明度发生变化,外观呈不透明的白色,颜色有点像白色的粉笔,就是我们俗称的“脱钙”了。白斑正是牙齿开启蛀牙之路的源头。此时宝宝可能没有任何的自觉症状,常常不引起家长重视,如再加上不认真刷牙,食物残渣遮盖牙齿就可能发现不了早期龋。之后色素沉着后会变成黄褐色或黑褐色。

怎样治疗牙齿脱矿?
1.牙齿涂氟
医生会给牙齿的表面用牙科器械进行清洁后,再给牙齿的表面涂上氟化物的制剂,就是我们经常说的涂氟。儿童最好从2—3岁开始,每半年涂一次,直到6岁为止。建议每隔3个月、6个月,或1年复查。

2.含氟牙膏
与牙齿涂氟的原理相似,使用含氟牙膏也是能够防治脱矿、预防龋齿的有效措施。但幼儿在使用含氟牙膏刷牙时,容易误吞,所以需控制孩子使用含氟牙膏用量。

(1)对于3岁以下的儿童,应该在孩子牙齿萌出后就开始刷牙,同时使用含氟牙膏,牙膏的用量只能使用大米粒大小(用量参考上图左),每天应该常规刷牙两次。
(2)对于3—6岁的儿童,含氟牙膏的安全使用量是豌豆大小(用量参考上图右),每天应该常规刷牙两次。
高氟地区的孩子,慎重使用含氟牙膏。还有需要强调的一点是,7岁以下的孩子都应该由家长帮助刷牙。
应该怎样预防牙齿脱矿?
1.注意保持口腔卫生。特别是在饭后的时候,应清洁口腔,将残留在牙齿间隙的残留物及时清理。
2.注意饮食均衡,常吃对牙齿有益的食物,比如:谷类、豆制品等。避免进食过冷、甜食、酸性食物,以免造成牙齿不适感。平常注意多饮白开水,起到清洁口腔的作用。
3.节制饮用碳酸饮料,里面含有多种有机酸,而这些有机酸能分解钙质,进而侵蚀到牙齿,造成牙齿脱矿。
4.正确刷牙:早晚刷牙,每次至少要刷3分钟以上,教育儿童正确的刷牙方式,要用竖刷的方式,睡前不吃糖果、饼干等零食。
5.定期看牙医,及时了解口腔状况。尤其对于儿童,宝爸宝妈可以尽早发现孩子口腔状况,做好预防治疗措施。对于3岁以上的宝宝,可以进行窝沟封闭和全口涂氟,有效保护宝宝的牙齿,预防龋齿。
版权所有:瑞安市妇幼保健院 瑞安市人民医院妇幼分院 浙ICP备2024083690号-2 Copyright © 2022 Women's Hospital School Of Medicine Zhejiang University