

准妈妈在得知新生命来临时,心情总是忐忑不安,除了承受身体上明显的变化之外,还要调适因为怀孕不适所造成的心理上的影响,如果这时又有牙痛、牙龈出血的症状,就更是“雪上加霜”了。不用担心,只要保持口腔卫生,了解一些相关知识,就会远离口腔疾病的烦恼!
准妈妈们容易出现哪些口腔问题?
龋齿
龋病也就是我们常说的蛀牙,产生蛀牙的主要原因是没有充分的清洁牙齿。妊娠期女性由于饮食次数和数量的增加、由于恶心等原因导致刷牙不够仔细、由于孕吐呕吐物中酸性物质腐蚀牙齿、怀孕后机体抵抗力下降等原因十分容易出现蛀牙或是使蛀牙加重,出现牙痛。我们每天应保证早、晚各刷牙一次,刷牙时应使用牙刷并可借助牙线等工具彻底清理干净牙齿的每一个角落。

牙周疾病
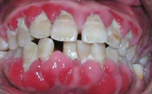
妊娠期牙龈炎也是孕期常见的口腔疾病之一,牙龈因牙垢、牙结石以及牙齿缺损形成的尖刺、残片等刺激下产生的炎症,可能出现牙龈的红肿、刷牙或触碰牙龈时易出血,严重者牙龈肿大如球状,称为牙龈瘤。此外妊娠期女性由于体内激素的变化,牙龈组织变得更敏感更易出现牙龈炎或是加重原有的牙龈炎症。然而,并非所有的孕妇都会发生妊娠期牙龈炎,口腔卫生状况良好,没有局部的刺激牙龈的因素存在,一般不会引起牙龈炎症。

智齿冠周炎
智齿萌出位置不足、覆盖在该牙齿上的牙肉内如果没有清洁干净,容易导致食物残渣滞留,滋生细菌。细菌刺激下周围的牙肉便会肿痛,严重时可能出现面部、喉部的肿痛,影响张口甚至全身不适。妊娠期生理、生活习惯改变,机体负担加重,抵抗力下降,更是容易引起冠周炎的急性发作。

准妈妈们要如何进行口腔保健?
孕前要进行口腔健康检查,解决问题排除隐患。

妊娠期口腔保健
A.认真清洁牙齿:每次进食后漱口、早晚彻底有效的刷牙、必要时可配合使用适合孕妇使用的漱口水。
B.注意营养平衡:应摄取足够的优质蛋白质,钙、磷和维生素等必需营养物质,为宝宝的牙齿发育提供营养。
C.谨慎用药:准妈妈应避免或少用药物,必要时需在医生的指导下用药。
D.出现口腔问题要及时向专业口腔医生求治,对于大部分口腔疾病的常规治疗,怀孕并非禁忌症,应与口腔医师仔细沟通病情,制定治疗方案,谨遵医嘱。
孕期的治疗:
妊娠初期(1~3个月):以保守治疗为主。
*妊娠中期(4~6个月):可治疗一般口腔疾病。
*妊娠后期(7~9个月):以保守治疗为主。

口腔科 廖彦
版权所有:瑞安市妇幼保健院 瑞安市人民医院妇幼分院 浙ICP备2024083690号-2 Copyright © 2022 Women's Hospital School Of Medicine Zhejiang University